Niềng răng mắc cài mặt trong, có nên không?

Niềng răng mắc cài mặt trong, có nên không?
Niềng răng mắc cài mặt trong là gì?Nếu như mắc cài truyền thống được gắn vào mặt ngoài của răng thì mắc cài mặt trong lại được gắn mặt trong của răng, hay còn có thể gọi là mắc cài mặt lưỡi.
Về cấu tạo cơ bản và chức năng không có gì khác so với mắc cài mặt ngoài bao gồm: dây cung và mắc cài.
Niềng răng sẽ giúp làm khe kẽ thưa, răng hết hô, móm, răng khấp khểnh được thẳng hàng. Trong 1 số trường hợp niềng răng sẽ giúp điều chỉnh khớp cắn về đúng vị trí chuẩn cần có.
Có thể nói, phương pháp niềng răng là cứu cánh cho những ai luôn mong muốn có hàm răng đều đẹp nhưng không muốn lựa chọn bọc răng sứ.
Niềng răng mắc cài mặt trong có tốt không?

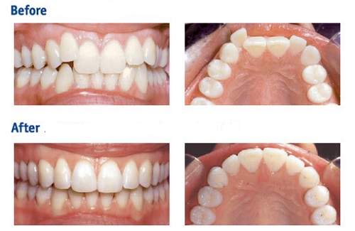
Kết quả thực hiện dịch vụ
100% khách hàng khi sử dụng niềng răng mắc cài mặt trong đều thừa nhận không cảm thấy vướng bận hay tự ti, lo sợ người khác biết mình đang mang mắc cài, khả năng giao tiếp bình thường, chức năng ăn nhai gần như không thay đổi.Còn đứng từ góc nhìn chuyên gia đánh giá thì kết quả chỉnh nha bằng mắc cài mặt trong tương đương với kết quả sử dụng mắc cài thông thường.
Ngoài ra, so với các phương pháp khắc phục khuyết điểm răng khác như bọc răng sứ thì niềng răng giúp bảo tồn được răng thật và cho kết quả duy trì ổn định theo thời gian.
Ngày nay, với sự phát triển của công nghệ, các nhà nghiên cứu đã phát minh ra phương pháp niềng răng không mắc cài, hay còn gọi là niềng răng trong suốt với những ưu điểm tượng tự như mắc cài mặt trong. Nhưng do giá thành còn cao nên chưa được phổ biến rộng rãi.
Vì lẽ đó mà các nha sỹ luôn khuyến cáo khách hàng nên lựa chọn niềng răng để đạt được nhiều lợi ích nhất.
Với nhiều ưu điểm vượt trội hơn so với phương pháp niềng răng truyền thống, nhưng vì vậy mà kỹ thuật thực hiện cũng đòi hỏi khắt khe hơn nhiều.
Nha khoa tự tin khẳng định chất lượng dịch vụ và cam kết về kết quả thực hiện cho khách hàng.
- Bình luận bằng Facebook
- Bình luận bằng tài khoản google+












