Cầu răng sứ – Phục hình răng giả – Bảo tồn răng thật

Khi nào bạn cần đến giải pháp làm cầu răng sứ?
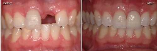
– Cầu răng là một phương pháp điều trị răng mất khi bạn không thể sử dụng phương pháp cấy ghép Implant hoặc do điều kiện và mong muốn của bản thân. Trong đó 2 răng bên cạnh răng mất sẽ tạo thành trụ gánh đỡ, tạo cho răng giả (thay thế răng đã mất) 1 thế đứng vững vàng, chắc chắn.
Làm cầu răng sứ thay thế răng mất trong các trường hợp:
– Răng sâu phải nhổ bỏ
– Mất răng trong tai nạn
– Mất răng do lão hóa
Cầu răng sứ mang đến lợi ích gì cho bạn

Mô phỏng cách làm cầu răng sứ
Phương pháp làm cầu răng sứ được chỉ định cho những ai mất 1 – 3 răng nhưng không có nhu cầu hoặc không thể tiến hành cấy ghép Implant.
Ưu điểm vượt trội của cầu rắng sứ là:
– Chi phí thực hiện thấp
– Nhanh có răng để ăn nhai
– Chỉ 2 -3 ngày như bọc răng sứ trong khi phương pháp cấy ghép Implant cần từ chờ 2 – 3 tháng để hoàn tất.
– Cầu răng không phải khoan vào xương hàm nên không đau
– Bảo tồn tối đa răng 2 bên cho khách hàng
Quá trình tiến hành làm cầu răng sứ:

Tại Nha khoa quốc tế Bạch Mai, quy trình làm cầu răng sứ được thực hiện bởi đội ngũ bác sĩ, chuyên gia nha khoa có nhiều kinh nghiệm theo quy trình an toàn của Bộ Y tế:
Bước 1: Tiến hành thăm khám và tư vấn, chụp XQ, lấy dấu 2 hàm để làm Demo, răng tạm
Bước 2: Sát khuẩn sau đó gây tê và mài cùi răng
Bước 3: Lấy dấu răng để chế tạo cầu răng sứ, lắp răng tạm
Bước 4: Lắp cầu răng, kiểm tra và hẹn lịch tái khám
Bạn lo lắng gì khi tiến hành làm cầu răng sư?

Làm cầu răng có đau và ảnh hưởng gì không?
Trong suốt quá trình làm cầu răng sứ khách hàng không cảm thấy đau hay khó chịu bởi:
+ Khách hàng được gây tê trước khi mài cùi răng bằng máy tiêm gây tê tự động
+ Quá trình thực hiện được hỗ trợ bởi công nghệ giảm đau hiện đại
+ Bác sĩ sẽ kê đơn thuốc đồng thời có những chỉ định cụ thể về việc chăm sóc răng miệng đúng cách sau làm cầu răng cho khách hàng.
Làm cầu răng sứ tại Nha khoa quốc tế Bạch Mai, không ảnh hưởng tới chức năng ăn nhai hay kết cấu hàm mặt do kĩ thuật giảm thiểu tỉ lệ mài răng và được thực hiện dưới sự hỗ trợ của các thiết bị nha khoa hiện đại, khớp cắn được kiểm tra kĩ lưỡng, chuẩn xác trước khi tiến hành làm cầu răng.
Sau khi làm cầu răng sứ cần lưu ý gì?
Để có được kết quả phục hình răng đúng như mong đợi, khách hàng cần lưu ý:
– Chải răng sau khi ăn đúng cách (thao tác chải răng nhẹ nhàng), làm sạch kẽ răng bằng chỉ nha khoa.
– Ở những vị trí cầu răng sứ thì dùng cây luồn chỉ để lấy đi những thức ăn thừa.
– Thực hiện nghiêm túc theo lịch đặt tại khám để nắm bắt tình trạng răng – miệng.
- Bình luận bằng Facebook
- Bình luận bằng tài khoản google+












