Niềng răng mắc cài sứ thích hợp với ai
NIỀNG RĂNG MẮC CÀI SỨ THÍCH HỢP VỚI AI?

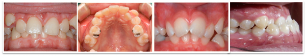
Niềng răng mắc cài sứ mang lại hiệu quả cho nhiều trường hợp răng xấu
NIỀNG RĂNG MẮC CÀI SỨ CÓ ƯU ĐIỂM GÌ?
Niềng răng mắc cài sứ – Giải pháp tối ưu cho hàm hô, móm, vẩu, lệch lạc sử dụng hệ thống mắc cài dây cung được thế kế đặc biệt, với chất liệu mắc cài bằng sứ và dây cung trong suốt. Việc thực hiện niềng răng mắc cài sứ khắc phục được những hạn chế của phương pháp niềng răng mắc cài kim loại truyền thống. Phương pháp này luôn khiến khách hàng hài lòng khi áp dụng điều trị, có thể kể đến những ưu điểm mà phương pháp này đem lại như sau:
Niềng răng mắc cài sứ nhanh chóng mang lại hàm răng đều đẹp tự nhiên
QUY TRÌNH NIỀNG RĂNG MẮC CÀI SỨ TẠI NHA KHOA QUỐC TẾ BẠCH MAI
Hiện nay, để mang lại kết quả tốt nhất và an toàn nhất cho khách hàng, Nha Khoa quốc tế Bạch Mai đang áp dụng quy trình niềng răng chuẩn quốc tế, tuân thủ nghiêm ngặt quy định Sở Y tế với các bước cơ bản như sau:
1/ Thăm khám và tư vấn
Đầu tiên, khi khách hàng đến với Nha Khoa Quốc tế Bạch Mai sẽ được bác sĩ thăm khám sơ qua tình trạng răng miệng hiện tại. Sau đó, khách hàng được đưa đi chụp X quang Panorex – Cephalometric để xác định chính xác mức độ hô, móm, vẩu, lệch lạc và nguyên nhân gây nên khiếm khuyết.
Bác sĩ khám sơ tình trạng răng miệng
Đồng thời, bác sĩ cũng tư vấn phương pháp niềng răng sao cho phù hợp với tình trạng răng, hàm và điều kiện thời gian, chi phí của khách hàng, cũng như giải thích cho khách hàng những thắc mắc liên quan.
2/ Lập kế hoạch điều trị bằng phần mềm Vceph 3D
Kết quả chụp X quang Panorex – Cephalometric được đưa về phần mềm Vceph 3D. Tại đây bác sĩ sẽ lập phác đồ điều trị chi tiết và chính xác, hiển thị rõ vị trí răng cần nắn chỉnh, tỉ lệ, thời gian dịch chuyển răng và kết quả của việc niềng răng như thế nào. Đây là bước rất quan trọng giúp người niềng răng hiểu rõ tình trạng răng hàm của mình và biết được chính xác quá trình điều trị biến đổi, cũng như đem lại kết quả cuối cùng ra sao trong bao lâu.
3/ Giao kế hoạch kí hợp đồng niềng răng
Bác sĩ giao kế hoạch niềng răng lại cho khách hàng, nếu khách hàng đồng ý thực hiện sẽ tiến hành ký hợp đồng nhằm đảm bảo về tiến độ, kết quả thẩm mỹ nhận được và chi phí.
4/ Lấy dấu mẫu hàm
Trước khi gắn mắc cài, khách hàng sẽ được lấy dấu mẫu hàm. Những số liệu từ việc lấy dấu mẫu hàm cũng như kế hoạch điều trị, thông tinh tình trạng răng miệng của khách hàng sẽ được chuyển sang Labo để các kỹ thuật viên chế tạo mắc cài cho phù hợp.
5/ Tiến hành gắn mắc cài
Trước hết, bác sĩ gắn mắc cài trên răng, đeo thun, dây cung môi, neo chặn… định hình tạo lực kéo và đối với trường hợp phức tạp phải sử dụng thêm các Mini Implant đặc biệt để làm neo chặn kéo các răng đến vị trí mong muốn.
Quá trình gắn mắc cài cũng được tiến hành tỉ mỉ, theo đúng kỹ thuật trong phòng khám vô trùng hiện đại đảm bảo sao cho khí cụ tạo lực kéo ổn định, nhanh chóng sắp xếp những răng lệch lạc về đúng nơi trên cung hàm, mà không ảnh hưởng xấu đến sức khỏe răng miệng của khách hàng.
6/ Hướng dẫn chăm sóc sau khi niềng răng
Trước khi ra về, khách hàng sẽ được bác sĩ hướng dẫn cách chăm sóc răng miệng chi tiết và chu đáo để đảm bảo có kết quả cao nhất sau khi kết thúc các giai đoạn niềng răng. Ngoài ra, bác sĩ sẽ hẹn lịch tái khám nhằm kiểm tra độ dịch chuyển răng và thay thun định hình, dây cung môi để tăng lực kéo.
Kết thúc quá trình điều trị như kế hoạch ban đầu, bác sĩ tiến hành tháo mắc cài. Một số trường hợp phải sử dụng thêm hàm duy trì làm bằng nhựa cứng giữ răng không bị di chuyển, tránh tái phát sau khi niềng răng.
NIỀNG RĂNG MẮC CÀI SỨ AN TOÀN VÀ HIỆU QUẢ TẠI NHA KHOA QUỐC TẾ BẠCH MAI
Nha Khoa quóc tế Bạch Mai – Địa chỉ niềng răng mắc cài sứ hiệu quả, uy tín, chất lượng dịch vụ vượt trội
Nha Khoa quốc tế Bạch Mai là hệ thống nha khoa chuyên sâu, được xây dựng theo tiêu chuẩn quốc tế, có chất lượng cao hàng đầu tại Việt Nam. Hiện nay, Nha Khoa quốc tế Bạch Mai đã và đang ứng dụng thành công kỹ thuật niềng răng mắc cài sứ mới nhất 2017, giúp mang lại hiệu quả cao, rút ngắn tối đa thời gian điều trị, đảm bảo thân thiện với sức khỏe người dùng.
Với những thế mạnh về cơ sở vật chất, đội ngũ bác sĩ, quy trình hiện đại, dịch vụ tốt, Nha Khoa quốc tế Bạch Mai tự hào đã thực hiện thành công, giúp hàng ngàn khách hàng trong cũng như ngoài nước, ở mọi lứa tuổi khác nhau có được hàm răng đều đẹp, nụ cười tỏa sáng sau khi niềng răng.
Nha Khoa quốc tế Bạch Mai với đội ngũ bác sĩ giàu kinh nghiệm, chuyên môn giỏi
Tại Nha Khoa quốc tế Bạch Mai, toàn bộ quá trình niềng răng từ khâu thăm khám, tư vấn và điều trị đều do các bác sĩ giàu kinh nghiệm, có chứng chỉ hành nghề, chuyên môn giỏi trực tiếp thực hiện. Bằng kiến thức vững vàng, sự tận tâm và y đức, đội ngũ bác sĩ luôn đem đến kết quả niềng răng tối ưu đến khách hàng.
Bên cạnh đó, thấu hiểu tầm quan trọng của trang thiết bị và công nghệ, Nha Khoa KIM đã đi đầu trong việc ứng dụng chụp X quang Panorex – Cephalometric, phần mềm phân tích V Ceph 3D giúp xác định chính xác nguyên nhân gây lệch lạc, lên kế hoạch điều trị phù hợp nhất. Hoàn toàn không mang tính ước lượng, phán đoán cảm tính như ở những cơ sở kém chất lượng. Đặc biệt, khách hàng sẽ được ký hợp đồng niềng răng trước khi thực hiện điều trị.
- Răng bị hô, chìa ra ngoài
- Răng bị móm khiến cung hàm không cân xứng
- Răng mọc lệch lạc, lộn xộn, chen chúc
- Răng mọc thưa, răng khểnh không đều
- Răng bị khớp cắn hở, khớp cắn đối xứng

Niềng răng mắc cài sứ mang lại hiệu quả cho nhiều trường hợp răng xấu
NIỀNG RĂNG MẮC CÀI SỨ CÓ ƯU ĐIỂM GÌ?
Niềng răng mắc cài sứ – Giải pháp tối ưu cho hàm hô, móm, vẩu, lệch lạc sử dụng hệ thống mắc cài dây cung được thế kế đặc biệt, với chất liệu mắc cài bằng sứ và dây cung trong suốt. Việc thực hiện niềng răng mắc cài sứ khắc phục được những hạn chế của phương pháp niềng răng mắc cài kim loại truyền thống. Phương pháp này luôn khiến khách hàng hài lòng khi áp dụng điều trị, có thể kể đến những ưu điểm mà phương pháp này đem lại như sau:
- Thẩm mỹ cao

Niềng răng mắc cài sứ nhanh chóng mang lại hàm răng đều đẹp tự nhiên
- Hiệu quả nhanh
- Đảm bảo an toàn cao
QUY TRÌNH NIỀNG RĂNG MẮC CÀI SỨ TẠI NHA KHOA QUỐC TẾ BẠCH MAI
Hiện nay, để mang lại kết quả tốt nhất và an toàn nhất cho khách hàng, Nha Khoa quốc tế Bạch Mai đang áp dụng quy trình niềng răng chuẩn quốc tế, tuân thủ nghiêm ngặt quy định Sở Y tế với các bước cơ bản như sau:
1/ Thăm khám và tư vấn
Đầu tiên, khi khách hàng đến với Nha Khoa Quốc tế Bạch Mai sẽ được bác sĩ thăm khám sơ qua tình trạng răng miệng hiện tại. Sau đó, khách hàng được đưa đi chụp X quang Panorex – Cephalometric để xác định chính xác mức độ hô, móm, vẩu, lệch lạc và nguyên nhân gây nên khiếm khuyết.

Bác sĩ khám sơ tình trạng răng miệng
Đồng thời, bác sĩ cũng tư vấn phương pháp niềng răng sao cho phù hợp với tình trạng răng, hàm và điều kiện thời gian, chi phí của khách hàng, cũng như giải thích cho khách hàng những thắc mắc liên quan.
2/ Lập kế hoạch điều trị bằng phần mềm Vceph 3D
Kết quả chụp X quang Panorex – Cephalometric được đưa về phần mềm Vceph 3D. Tại đây bác sĩ sẽ lập phác đồ điều trị chi tiết và chính xác, hiển thị rõ vị trí răng cần nắn chỉnh, tỉ lệ, thời gian dịch chuyển răng và kết quả của việc niềng răng như thế nào. Đây là bước rất quan trọng giúp người niềng răng hiểu rõ tình trạng răng hàm của mình và biết được chính xác quá trình điều trị biến đổi, cũng như đem lại kết quả cuối cùng ra sao trong bao lâu.
3/ Giao kế hoạch kí hợp đồng niềng răng
Bác sĩ giao kế hoạch niềng răng lại cho khách hàng, nếu khách hàng đồng ý thực hiện sẽ tiến hành ký hợp đồng nhằm đảm bảo về tiến độ, kết quả thẩm mỹ nhận được và chi phí.
4/ Lấy dấu mẫu hàm
Trước khi gắn mắc cài, khách hàng sẽ được lấy dấu mẫu hàm. Những số liệu từ việc lấy dấu mẫu hàm cũng như kế hoạch điều trị, thông tinh tình trạng răng miệng của khách hàng sẽ được chuyển sang Labo để các kỹ thuật viên chế tạo mắc cài cho phù hợp.
5/ Tiến hành gắn mắc cài
Trước hết, bác sĩ gắn mắc cài trên răng, đeo thun, dây cung môi, neo chặn… định hình tạo lực kéo và đối với trường hợp phức tạp phải sử dụng thêm các Mini Implant đặc biệt để làm neo chặn kéo các răng đến vị trí mong muốn.
Quá trình gắn mắc cài cũng được tiến hành tỉ mỉ, theo đúng kỹ thuật trong phòng khám vô trùng hiện đại đảm bảo sao cho khí cụ tạo lực kéo ổn định, nhanh chóng sắp xếp những răng lệch lạc về đúng nơi trên cung hàm, mà không ảnh hưởng xấu đến sức khỏe răng miệng của khách hàng.
6/ Hướng dẫn chăm sóc sau khi niềng răng
Trước khi ra về, khách hàng sẽ được bác sĩ hướng dẫn cách chăm sóc răng miệng chi tiết và chu đáo để đảm bảo có kết quả cao nhất sau khi kết thúc các giai đoạn niềng răng. Ngoài ra, bác sĩ sẽ hẹn lịch tái khám nhằm kiểm tra độ dịch chuyển răng và thay thun định hình, dây cung môi để tăng lực kéo.
Kết thúc quá trình điều trị như kế hoạch ban đầu, bác sĩ tiến hành tháo mắc cài. Một số trường hợp phải sử dụng thêm hàm duy trì làm bằng nhựa cứng giữ răng không bị di chuyển, tránh tái phát sau khi niềng răng.
NIỀNG RĂNG MẮC CÀI SỨ AN TOÀN VÀ HIỆU QUẢ TẠI NHA KHOA QUỐC TẾ BẠCH MAI
Nha Khoa quóc tế Bạch Mai – Địa chỉ niềng răng mắc cài sứ hiệu quả, uy tín, chất lượng dịch vụ vượt trội
Nha Khoa quốc tế Bạch Mai là hệ thống nha khoa chuyên sâu, được xây dựng theo tiêu chuẩn quốc tế, có chất lượng cao hàng đầu tại Việt Nam. Hiện nay, Nha Khoa quốc tế Bạch Mai đã và đang ứng dụng thành công kỹ thuật niềng răng mắc cài sứ mới nhất 2017, giúp mang lại hiệu quả cao, rút ngắn tối đa thời gian điều trị, đảm bảo thân thiện với sức khỏe người dùng.
Với những thế mạnh về cơ sở vật chất, đội ngũ bác sĩ, quy trình hiện đại, dịch vụ tốt, Nha Khoa quốc tế Bạch Mai tự hào đã thực hiện thành công, giúp hàng ngàn khách hàng trong cũng như ngoài nước, ở mọi lứa tuổi khác nhau có được hàm răng đều đẹp, nụ cười tỏa sáng sau khi niềng răng.
Nha Khoa quốc tế Bạch Mai với đội ngũ bác sĩ giàu kinh nghiệm, chuyên môn giỏiTại Nha Khoa quốc tế Bạch Mai, toàn bộ quá trình niềng răng từ khâu thăm khám, tư vấn và điều trị đều do các bác sĩ giàu kinh nghiệm, có chứng chỉ hành nghề, chuyên môn giỏi trực tiếp thực hiện. Bằng kiến thức vững vàng, sự tận tâm và y đức, đội ngũ bác sĩ luôn đem đến kết quả niềng răng tối ưu đến khách hàng.
Bên cạnh đó, thấu hiểu tầm quan trọng của trang thiết bị và công nghệ, Nha Khoa KIM đã đi đầu trong việc ứng dụng chụp X quang Panorex – Cephalometric, phần mềm phân tích V Ceph 3D giúp xác định chính xác nguyên nhân gây lệch lạc, lên kế hoạch điều trị phù hợp nhất. Hoàn toàn không mang tính ước lượng, phán đoán cảm tính như ở những cơ sở kém chất lượng. Đặc biệt, khách hàng sẽ được ký hợp đồng niềng răng trước khi thực hiện điều trị.
- Bình luận bằng Facebook
- Bình luận bằng tài khoản google+












